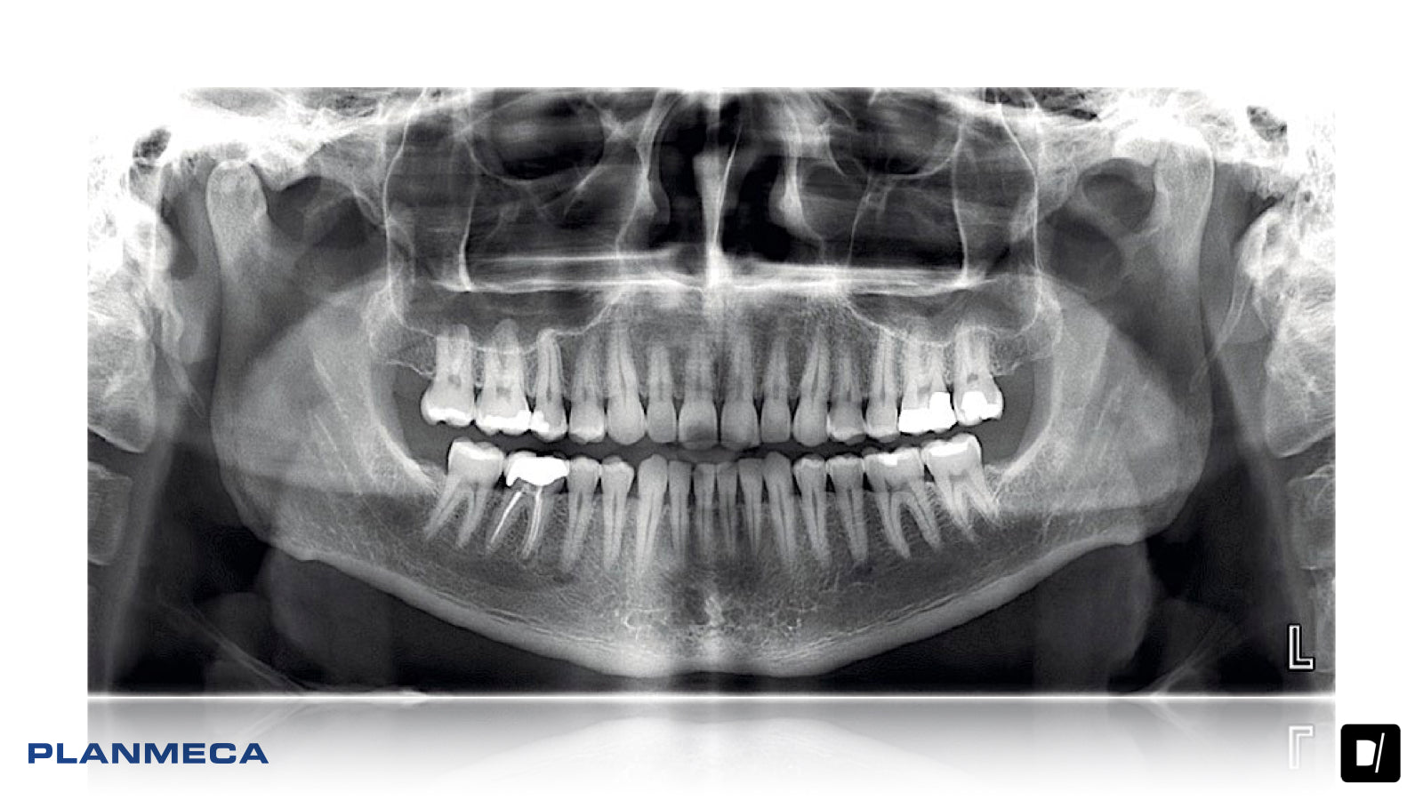
Panoramico Dental - Planmeca Promax 2D

Planmeca

  • Planmeca ProMax® 2D es un moderno y completo equipo de radiología oral para el procesamiento de imágenes maxilofaciales. Sus principios de diseño y funcionamiento se basan en las investigaciones científicas y tecnológicas más recientes. Las unidades son capaces de satisfacer incluso las necesidades más exigentes de la radiología dental moderna.

    Las unidades de procesamiento de imágenes panorámicas Planmeca ofrecen una avanzada y versátil experiencia de imágenes 2D. Desde el posicionamiento flexible del paciente hasta las innovaciones creativas y la alta calidad de la imagen, representan las imágenes dentales 2D en su máxima expresión.


Colecciones:

Categoría: Cefalico, Panoramico, Panoramico Cefalico, Planmeca, Promax 2D, Radiologia

Tipo: Promax 2D


Posicionamiento abierto del paciente

La arquitectura abierta de Planmeca ProMax ofrece una vista sin limitaciones que le ayuda a posicionar a los pacientes con precisión. Esto puede lograrse mediante la función de autoenfoque de la unidad o manualmente, con un sistema de haz láser triple que indica con precisión los puntos correctos de alineación anatómica.

Gran facilidad de utilización

Todas nuestras unidades de procesamiento de imágenes panorámicas disponen de una interfaz gráfica de fácil uso que contribuye a que el trabajo de procesamiento de imágenes fluya sin problemas en cualquier situación. Puede aprovechar el posicionamiento del paciente en vista completa con luces de posicionamiento de láser triple, así como ofrecer una conveniente entrada lateral para sus pacientes puedan acceder cómodamente.

Amplia variedad de programas de procesamiento de imágenes

Las unidades Planmeca ProMax 2D ofrecen la más amplia variedad de programas de procesamiento de imágenes. Se encuentran disponibles distintos programas de imágenes panorámicas, así como opciones para imágenes de ATM, senos y tomográficas. Las unidades también tienen un modo para niños que permite obtener imágenes a dosis más bajas al reducir el área de procesamiento de imágenes y los valores de exposición.

Tecnología panorámica avanzada

Nuestra tecnología patentada SCARA (Selectively Compliant Articulated Robot Arm / Brazo Robot Articulado Selectivamente Adaptable) garantiza una geometría de imágenes anatómicamente precisa, lo cual genera imágenes claras y sin errores. Con Control de Exposición Dinámico (DEC), las unidades miden la transparencia de radiación del paciente y ajustan automáticamente los valores de exposición.

VER MAS

Totalmente actualizables de 2D a 3D

Las unidades Planmeca ProMax 2D se han diseñado teniendo en mente la posibilidad de actualización. Su estructura modular permite la fácil conversión a diferentes modalidades de procesamiento de imágenes. Planmeca tiene la solución adecuada para usted, tanto si desea actualizar su unidad de 2D a 3D como si desea añadir un brazo cefalométrico

{title}